×

Aviso

Please enter your DISQUS subdomain in order to use the 'DISQUS Comments for Joomla!' plugin. If you don't have a DISQUS account, register for one here

Implante unitario


Ausencia de dos incisivos que solucionaremos con un solo implante
Ausencia de dos incisivos que solucionaremos con un solo implante

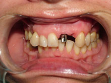
El implante colocado y su pilar
El implante colocado y su pilar

La prótesis sobre implante perfectamente integrada
La prótesis sobre implante perfectamente integrada



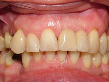
El aspecto final de la sonrisa
El aspecto final de la sonrisa
 
 

 

 

pida-cita1.jpg pida-cita2.jpg pida-cita3.jpg

Casos reales

Ver casos reales odontología

Reciba nuestros boletines y promociones:

captcha