×

Aviso

Please enter your DISQUS subdomain in order to use the 'DISQUS Comments for Joomla!' plugin. If you don't have a DISQUS account, register for one here

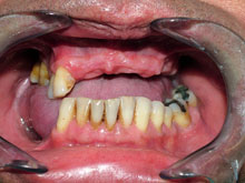
Implantes maxilar superior


Un caso con gran reabsorción ósea en maxilar superior
Un caso con gran reabsorción ósea en maxilar superior

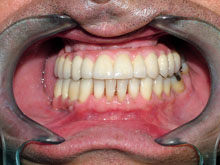
Realizamos implantes y prótesis
Realizamos implantes y prótesis para sustituir los tejidos duros y blandos perdidos

Logramos una sonrisa satisfactoria a pesar del defecto de tejidos
Hemos logrado una sonrisa satisfactoria a pesar del defecto de tejidos

 



pida-cita1.jpg pida-cita2.jpg pida-cita3.jpg

Casos reales

Ver casos reales odontología

Reciba nuestros boletines y promociones:

captcha